When Biology Is Rebuilt: What Lindsey Vonn’s Knee Tells Us About the Future of Human Performance

Lindsey Vonn, the Queen of Downhill, my personal hero, one of the most accomplished alpine ski racers in history, is back. Coming out of retirement to win in the coming Winter Olympic Games in Cortina.

Greatest female speed skier of all time won three Olympic medals, including gold in downhill at Vancouver 2010, competed in four Olympic Games (2002–2018), claimed 84 World Cup victories (third in the World but can soon beat famous Ingemark Stenmark record and place second after Michaela Schifrin), 137 podiums, and four Overall World Cup titles, alongside 16 Crystal Globes, primarily in downhill and super-G. And that’s not all, she also earned eight World Championship medals, highlighted by a double gold at Val-d’Isère in 2009. And keep counting, it changes almost every day now.

Vonn is defined not only by her exceptional dominance in speed races and remarkable longevity, but also, unfortunately, by many severe injuries she repeatedly managed to overcome to return and win at the highest level for almost two decades. 

Why her return to World Cup competition and Olympics at 41 years old is particularly significant?

It isn’t just a comeback story. It is a real-world experiment in how far modern science can push the limits of the human body, despite career-ending injuries and aging bodies. 

No one else could have done it. Only Lindsey Vonn, an athlete who combines fearless racing, tactical intelligence, consistency, and unprecedented resilience. Following a robot-assisted knee replacement, guided by 3D anatomical modelling, she is once again competing in one of the most biomechanically demanding sports in the World. It is a case study on how biology, engineering, and technological intervention begin to reshape the limits of human performance.

Throughout her career, Vonn often hit speeds nearing 137 km per hour on downhill courses.

The Biological Problem: Why the Knee Fails in Alpine Skiing

In elite sport, injury is usually the beginning of the end. Joints wear down, cartilage disappears, and decline is inevitable, especially in alpine skiing, where the knee can experience up to five times body weight in a single high-speed turn. Osteoarthritis has traditionally been thought of as irreversible,  something that technology could not solve or rebuild. 

The human knee evolved to cope with everyday movements like walking, running, and occasional jumping, but not with repeated extreme torsional loads at high speed on uneven terrain surfaces. In alpine skiing, these unnatural forces place extreme stress on the femorotibial joint,especially on its medial side. It simply accelerates cartilage breakdown and damage to the underlying bone. Over time, this mechanical overload overwhelms the joint’s limited capacity for repair.

In Vonn’s case, years of ligament ruptures and chronic inflammation resulted in end-stage post-traumatic osteoarthritis, which biologically reflects a fundamental limitation of human tissue regeneration.

Her first significant injury in February 2013 at the FIS Alpine World Championships in Schladming was widely regarded as the most serious in her career. It set the foundation for a series of later injuries, introducing instability and initiating a process of degeneration that compounded over time. 

ACL (anterior cruciate ligament) injuries in alpine skiing are especially damaging because the knee is exposed to high rotational torque, asymmetric loading, and sudden deceleration with the foot in a fixed position. These forces impose severe shear and compressive loads on the joint, disrupting normal biomechanics and making long-term biological recovery, especially the preservation of cartilage, extremely difficult even after surgery.

In a Super-G race in 2013, Linsey crashed at high speed, catching an edge, which resulted not only in a complete ACL tear but also an MCL tear and a tibial plateau fracture in the right knee. This combination constituted a multi-structure knee injury that simultaneously damaged bone, ligaments, and cartilage. 

Biologically, the tibial plateau fracture compromised the joint’s primary surface that bears most of the load. Additionally, the combined ligament ruptures caused severe instability, affecting normal force transmission through the knee. The resulting inflammation and disrupted biomechanics accelerated cartilage degeneration, marking a shift from an acute traumatic injury to chronic joint failure, resulting in an increased risk of early osteoarthritis.

As adult articular cartilage is avascular, which means no blood vessels, low in oxygen and nutrients,  hence metabolically slow, and largely incapable of self-repair. Conventional treatments such as physiotherapy, corticosteroid injections, and arthroscopy can reduce symptoms but cannot restore the knee’s structural integrity. Therefore, joint replacement has long been regarded as the end of elite athletic careers, as implants were designed to enable daily movement rather than withstand the high biomechanical loads encountered in sports. What has changed is not the biology itself, but the precision with which technology can now interface with it.

Anterior cruciate ligament (ACL) tear, one of the most common and career-threatening injuries in elite alpine skiing

3D Scans and Robot-Assisted Surgery: Engineering Meets Anatomy

For Lindsey Vonn, surgeons planned an individual reconstruction tailored to the extreme demands of elite downhill skiing. Using high-resolution CT 3D scans, they were able to move beyond standardised, “one-size-fits-all” knee replacement, capturing the exact shape, density, and structure of her knee, including areas altered by years of injury and previous surgery.

Based on those scans, a digital twin model of Vonn’s knee was created, mapping the joint’s exact geometry, alignment, and rotational axes (the path along which force travels from the hip to the ankle). It allowed surgeons to analyse how her knee actually functioned rather than relying on population averages. The doctors had to assess varus (bow legs) and valgus (knocked knees) alignment, as well as the tibial slope (the angle of the top surface of the tibia relative to the horizontal), to determine how her knee was angled and tilted. They also had to identify subtle asymmetries that would be invisible on standard imaging but become critical under the high load. This level of precision was crucial, as even a one-degree misalignment can significantly overload cartilage and implants, especially under the extreme forces experienced in downhill skiing.

3D CT-based model individually designed to optimize implant placement in the sagittal, transverse and coronal planes. Photo credit to Strykier Mako Robotics

Robotic Surgical Precision: Engineering Stability Into the Body

Finally, in the guided robot-assisted surgery, which translated digital planning into physical reconstruction with sub-millimetre accuracy, the personalised implant was placed. We must remember that the robotic system does not replace the surgeon. It rather prevents errors, ensuring bone cuts and implant placement remain within a tightly defined biomechanical boundaries that allow the knee to function safely with complete stability under load.

For Vonn, this precision was critical. Her knee had been altered by many injuries and surgeries, affecting ligament tension and joint mechanics. Robotic assistance allowed surgeons to preserve as much bone stock as possible, maintain joint line height, and balance soft tissues. The level of accuracy and precision wouldn’t be possible through manual techniques alone. The result was not simply a replaced joint, but a whole reconstruction of the biomechanical system capable of tolerating extreme loads.

The knee became a hybrid structure, consisting in part of biological tissue, and part of an engineered mechanism.

But we must remember that structural precision alone is insufficient without materials that can withstand the stress of elite sport. Vonn’s implant relies on cobalt–chromium alloys, titanium components, and ultra-high-molecular-weight polyethylene, chosen for their fatigue resistance, low friction, and biocompatibility.

These materials must tolerate millions of high-load cycles without causing inflammatory immune responses. Earlier generations of implants often failed under repeated mechanical load due to progressive component wear and implant loosening.

Advances in material science have significantly reduced these risks, making extreme use possible for the first time.

What is most important is that these materials do not enhance biological performance. They partially replace damaged tissue with structures that resist mechanical breakdown, allowing muscles and nerves to function without constant pain and inflammation. For Lindsey Vonn this is the first time since her first injury that she can not only race but also move without the pain.

Robot performing knee replacement surgery with highest accuracy mitigates human error

But is This Still “Biological” Performance?

The main question is not whether the technology works, but how it reshapes definitions of the biological athlete. Elite sport has long accepted certain forms of technology, such as improved equipment or altitude training, but interventions that alter the body itself, especially permanent surgery, remain far more controversial.

Vonn’s reconstructed knee does not enhance her performance beyond her former competitive level. It prolongs the biological function of the joint beyond the limits imposed by aging and injured tissue. But it creates a dilemma in defining fairness in sports. 

Anti-doping frameworks presume a clear boundary between natural and artificial, focusing mainly on chemical enhancement. The robot-assisted joint reconstruction, however, does not add strength, speed, or endurance. It restores mechanical stability, leaving performance dependent on muscle force, neural control, and the athlete’s metabolic capacity. 

Vonn’s return challenges the theory that aging represents a fixed biological limit. It proves that advances in medical and engineering technology from now on can reduce the impact of aging.

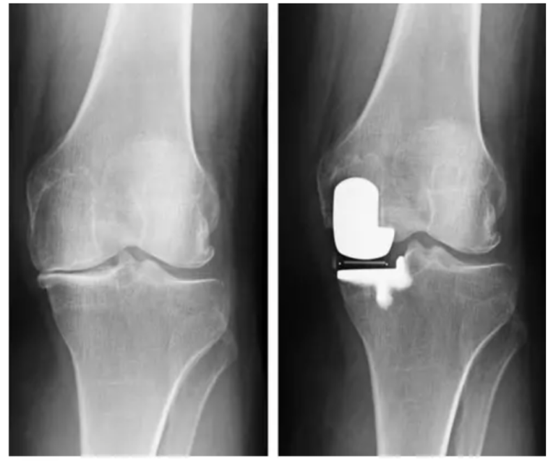
Partial knee implant replacing demaged tissues maximally preserving healthy structures. Photo credit to Journal of Isakos

Neuromuscular Retraining: Reprogramming the Biological Software

The last important element of the process shows that even a perfectly engineered joint is useless without proper neural adaptation. Years of racing in pain had impaired Vonn’s neuromuscular control, producing muscle inhibition, compensatory movement patterns, and degraded proprioception. After the surgery, intensive retraining was required to reestablish efficient movement patterns of the reconstructed joint.

We must remember that performance emerges not from structure alone, but from the interaction between mechanics and neural control. The nervous system must relearn how much force the joint needs and how to integrate altered sensory feedback. Without this process, structural repair would not translate into elite performance and success.

Photo credit to Lindsey Vonn Instagram

The Selective Nature of Biological Aging and the Power of Will

Biological aging is uneven for different body structures. While connective tissues degrade quite early in life, neuromuscular coordination, tactical intelligence, and motor pattern efficiency can improve with experience.

Unlike in high-intensity sports, where power and speed decline early, alpine skiing rewards instinctive line choice, terrain awareness, and risk judgment. The skills that often mature rather than diminish with age.

Vonn’s surgery did not reverse aging, but it rebalanced her biological systems by stabilising the joint, allowing neural and muscular capacities to be reflected once again. 

It shows that biological decline is selective and that technology can determine and change the order in which systems limit performance. If joint failure can be technologically stabilised, chronological age becomes a much weaker predictor of elite performance than before, particularly in sports where experience counts.

Beyond surgery and physical rehabilitation, Lindsey Vonn’s return was also made possible by her famous motivation and mental resilience. Recovering from repeated serious injuries is often psychologically harder than racing itself. Long periods of pain, slow progress, and uncertainty can be deeply demotivating for an athlete and may lead to loss of confidence and mental fatigue. Her ability to stay committed to the rehabilitation process, rebuild self-belief after crashes, and trust her body again is now legendary. Still, it has also played a crucial role in her comeback. Vonn’s mental strength had real physiological effects, as confidence helped reduce protective muscle tension, restore natural movement patterns, and allow her nervous system to adapt to the reconstructed joint fully. In this way, determination was not just a personal trait but an essential part of turning medical repair into elite performance.

Photo credit to Lindsey Vonn Instagram

Cortina and the Future of Elite Sport

Lindsey Vonn’s return to the Olympic Games in Cortina is symbolic, as it changes perceptions of elite sport. A high risk of injury and physiological wear and tear has always defined alpine skiing. Traditionally, a single mistake could end an athlete’s career or permanently alter their performance, often marking a point of physical decline. Her comeback suggests a new chapter for sport in which biological damage, whether from injury or aging, is no longer a destiny but a technical challenge to be managed.

So Much More than a Come Back

Lindsey Vonn’s return to racing is more than an exceptional comeback. It marks a broader shift in how we understand the limits of the human body. Her career shows that what once seemed irreversible biological damage can now, in some cases, be managed through a combination of medical precision, engineering innovation, and psychological resilience. Vonn’sstory reveals how sport increasingly works with modern biology to reverse weaknesses, so skills, experience, and determination can overcome them. 

As technology reshapes recovery and performance, Lindsey Vonn’s journey forces us to rethink aging, injury, and decline, not as an end, but as a challenge posed by science and human will.

Leave a comment